How Much Does A Dental Deep Cleaning Cost Without Insurance
At our office the cost for a cleaning is only 150. Dental deep cleaning costs on average between 150 and 350 without insurance.

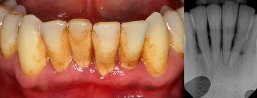
Dental Deep Cleaning For Gum Disease Treatment In Houston
The cost of dental cleaning will most likely be more if it is a deep cleaning at the dentist.

How much does a dental deep cleaning cost without insurance. What Additional Cleaning Costs Should I Be Aware Of. Periodontal treatment costs vary depending on a number of factors. After surveying over 600 dental practitioners the average cleaning cost was found to be between 90 and 120.
Not all cleanings are the same. Common check-up and cleaning costs vary. It is a deeper cleaning that goes under your gums to prevent or cure gum disease.
You can generally expect to pay between 172 and 1283 per session. How much do dental deep cleanings cost. However in some situations the dentist may have to step in to provide additional services like x-ray scans which may increase the deep cleaning teeth cost to range between 100 to 300.
CostHelper readers without dental insurance report paying 390-3800 for deep cleaning for an average cost of 1257. Join a Dental Network Short of signing up for traditional dental insurance you can join a dental network to gain savings on a visit-by-visit basis. According to a 2017 survey by Dental Economics a routine adult cleaning ranges from a 88 to 135 while a full mouth deep cleaning can cost over 1000.
However statistical data shows the median cost to be about 80 to 175. Dental deep cleaning may cost 150 to 350 if you. The average cost of teeth cleaning without insurance ranges from 75 to 200 if done by a dental hygienist.
An oral cleaning can cost anywhere between 75 and 400 without any insurance coverage depending upon the kind of cleaning needed and the individuals age. Dentists charge different rates depending upon your situation and where you live. If the regular cleaning includes x-rays you can expect those costs to be slightly higher typically 100 to 300.
That said even without dental insurance teeth cleanings may be relatively affordable costing between 63 and 164 for an adult. This is different from the regular cleaning you get twice a year. After all the average cost of a cleaning can be upwards of 100 a cavity filling without insurance could be double that and its recommended to get two cleanings per year.
Check deep cleaning costs with a dentist near you. Charges start at 100 to 450 per quadrant Low. Regular cleaning without x-rays can be 75 to 200 depending on the dental practice.
A dental cleaning can cost anywhere between 75 to 400 with no insurance depending on the type of cleaning required and the patients age. For a dental deep cleaning treatment including dayton dental scaling and root planing dentists usually divide the mouth into four quadrants and clean one quadrant per visit. Cavity filling composite Cost with insurance.
If youre ready to start comparing dental insurance plans costs and coverages get a quick dental quote now or call 888-855-6837 to speak with an agent about your needs and available options. However this doesnt take into account the cost of anesthetics you may need or the higher costs charged by some dentists. Usually between 200 and 400.
What is the average cost of a dental cleaning. Completely covered up to twice a year Cost without insurance. Dental insurance typically covers some of the cost of deep cleaning procedures depending on the terms of the policy or plan.
The severity and extent of periodontal disease may require 4 procedures to be completed to treat the entire mouth. Here are some average costs of these dental procedures with and without insurance as reported by CostHelper. A routine dental cleaning usually costs around 100.
If you havent been to the dentist in a while you might be faced with additional charges. Type Of Oral Cleaning Cost with or without Insurance Coverage Kid Teeth Cleansing Expense Without insurance 94. The cost of deep cleaning without insurance can be quite expensive when you include optional services that your periodontist might recommend and factor in the level of tartar and plaque built up on your teeth.
How much does a cleaning appointment cost without insurance. With no insurance your out-of-pocket cost for a regular dental cleaning will range from around 75 to around 200 If you get dental cleanings twice a year that might be a lot of money to pay out of pocket for routine dental care. This does not include any added charges for examinations X-rays fluoride treatments or other services Dental insurance that covers deep cleanings.
Typically covers 50-80 of the cost. In most places an average check-up costs about 288 which covers an exam x-rays and cleaning.

Dental Deep Cleaning Srp 209 Nyc Dental

Dental Cleaning Brooklyn Deep Teeth Cleaning Cost Brooklyn Ny

Scaling And Root Planing Best Dental In Houston Tx
Dental Deep Cleaning For Gum Disease Treatment In Houston

How Much Does A Routine Dental Cleaning Cost Without Insurance Find Out

Paying For Periodontal Treatment Costs Without Insurance

Dentist Nyc Periodontal Treatment Sachar Dental Nyc

Dental Cleaning Cost In Los Angeles And West Hollywood Ca

Deep Teeth Cleaning Yonkers Dental Cleaning Cost In Yonkers Ny
What Are Deep Cleanings And Why Is The Srp So Misunderstood

Teeth Cleaning In Brooklyn Ny Affordable Same Day Teeth Cleaning

Dental Cleaning In Brooklyn Ny Professional Teeth Cleaning Near Me
What Are Deep Cleanings And Why Is The Srp So Misunderstood

Dental Cleaning Cost In Los Angeles And West Hollywood Ca

Periodontal Deep Cleaning Houston Tx Garden Oaks Dental
How Much Does A Dental Cleaning Cost In India Quora

Deep Dental Cleaning Vs Regular Cleaning Did The Dentist Just Refuse To Clean Your Teeth

Teeth Cleaning Dental Checkup In Nyc Cost Service Information

Post a Comment for "How Much Does A Dental Deep Cleaning Cost Without Insurance"